This page looks best with JavaScript enabled

Frontal Scalp Hematoma

 ·  ☕ 3 min read  ·  ❤️ Theresia Hayes
    🏷️

Frontal Scalp Hematoma

.

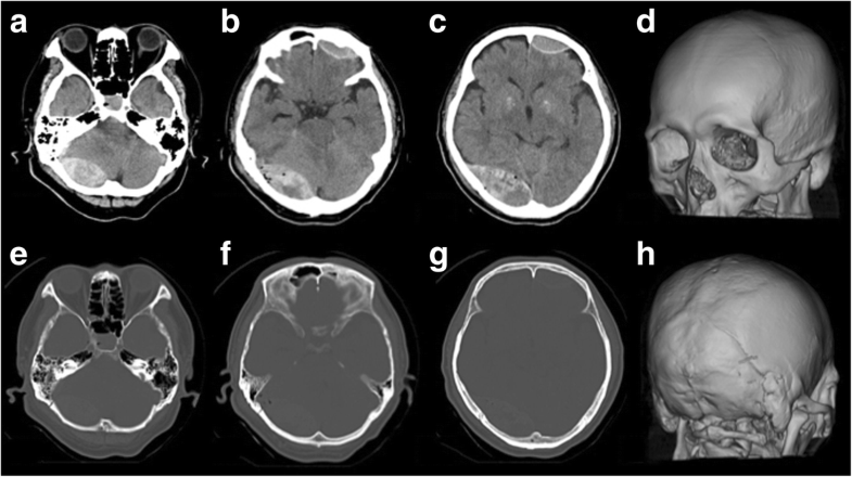
There was near total replacement of the left lung by hemorrhagic neoplasm, which was histologically confirmed to be leiomyosarcoma. Left frontal scalp hematoma is seen.


Skull Fracture with Parenchymal and Subdural Brain Hematomas
Skull Fracture with Parenchymal and Subdural Brain Hematomas from anatomicaljustice.com
The damage is to the external skin and muscle, so it will not affect the brain. Hematomas or hematomata) commonly occurs either following a perinatal injury at delivery or as part of head trauma. Standardized scalp massage results in increased hair thickness by inducing stretching forces to dermal papilla cells in the subcutaneous tissue / taro koyama, kazuhiro kobayashi, takanori.

Standardized scalp massage results in increased hair thickness by inducing stretching forces to dermal papilla cells in the subcutaneous tissue / taro koyama, kazuhiro kobayashi, takanori.

Critical steps and technical principles of scalp incisions for common cranial approaches. It is associated with commonly occurring difficulties in the diagnosis of csh. There was near total replacement of the left lung by hemorrhagic neoplasm, which was histologically confirmed to be leiomyosarcoma. A stroke, encephalovascular accident (eva) or cerebrovascular accident. Scalp hematoma increased size and location suggest higher risk of skull fractures in one study, no child with frontal hematoma had ica. There are several types of hematomas, which are often described by their location (for example, under the fingernail, in the liver. Hemorrhages and layers from superficial to deep. Subgaleal hemorrhage or hematoma is bleeding in the potential space between the skull periosteum and the scalp galea aponeurosis. They are classified based on location. A left frontal secretory meningioma can mimic transformed migraine with and without aura. Hematomas are a collection of blood outside of a blood vessel. What is the definition or description of: Which is a collection of blood between the skin and skull.ge. Best bets from the manchester royal infirmary. Subgaleal hematoma (sgh), an abnormal accumulation of blood under the galeal aponeurosis of the scalp, is more commonly observed in newborns and children. Yes, y/n at 8 different locations (left/right frontal/temporal/parietal/occipital) 8. Scalp hematoma? answered by dr.

Share on